该研究揭示了microRNA-7322-5p/p38/Hsp19路径在二化螟防御Cry1Ca杀虫蛋白过程中的功能,填补了microRNA和小热激蛋白家族在昆虫防御成孔毒素机制中的空白,为开发新型生物源杀虫剂提供了候选靶标蛋白,同时也为研发绿色可持续害虫防控策略提供了新的研发思路。

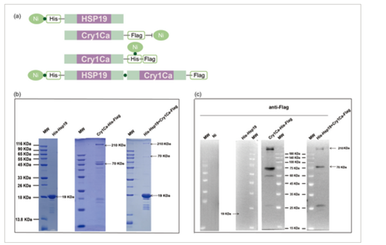
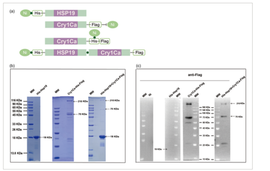
图1 Hsp19与Cry1Ca相互作用
图2 二化螟抗性鉴定

图3 microRNA-7322-5p/p38/Hsp19通路在二化螟防御Cry1C杀虫蛋白过程中的功能
该研究团队近年来围绕二化螟功能基因组学开展研究,着重鉴定与其生长发育/生态适应性相关的关键遗传因子(Molecular Ecology Resources, 2020; International Journal of Biological Macromolecules, 2021),并应用寄主诱导的基因沉默策略(Host-induced gene silencing)和喷施诱导的基因沉默策略(Spray-induced gene silencing)验证了多个具有较大开发潜力的新型杀虫剂分子靶向蛋白,相关结果在Pesticide Biochemistry and Physiology (2021, 2022)、Pest Management Science (2020, 2022)和Journal of Agricultural and Food Chemistry (2023)等农药学主流刊物获得连续发表。