在植物与病原真菌长期的演化博弈中,精准的胞内稳态调控是其维持侵染活力的生理基础。作为全球最具破坏性的作物病害之一,稻瘟病的精准防控直接关系到全球粮食安全。近日,浙江大学农业生物技术学院刘小红/林福呈团队在国际学术期刊Nature Microbiology发表题为“MoCox6 is a regulator of mitophagy and a druggable target in Magnaporthe oryzae”的研究论文,揭示了稻瘟病菌致病过程中线粒体自噬调控的新机制,并提出了一种具有应用前景的绿色精准防控策略。

线粒体自噬是真菌调控能量代谢与胞内稳态的核心机制。目前,相关研究多聚焦于线粒体外膜蛋白,而线粒体内膜调节因子介导该过程的功能机制仍有待阐明。围绕这一关键问题,研究团队整合定量蛋白质组学与互作组学分析开展系统筛选,从受自噬核心因子调控的线粒体蛋白中,最终鉴定出线粒体内膜蛋白MoCox6,并证实其介导稻瘟病菌线粒体自噬,是稻瘟病菌致病所必需的关键因子。
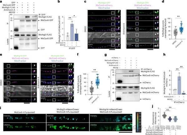
研究发现,在线粒体外膜破裂条件下,MoCox6与自噬蛋白MoAtg5、MoAtg14发生特异性识别并启动线粒体自噬(图1)。这一过程受去琥珀酰化酶MoSirt5催化MoCox6蛋白K144位点的去琥珀酰化调节。通过结构分析与定点突变验证,研究团队鉴定出MoSirt5-MoCox6互作界面的关键残基Asp95,并证实其介导了MoCox6在线粒体自噬与代谢稳态中的双重功能。

图1 在线粒体外膜破裂条件下,MoCox6通过与MoAtg5及MoAtg14相互作用以介导线粒体自噬
基于该关键位点,研究团队利用计算机辅助药物设计并结合高通量筛选,获得靶向MoCox6的小分子化合物Pan-RAS-IN-1(图2)。实验证实,该化合物通过抑制线粒体自噬显著降低了稻瘟病菌的致病力,并表现出广谱抗真菌活性。大田药效试验进一步证实,Pan-RAS-IN-1对水稻稻瘟病具有显著的防治效果,显示出作为新一代靶向型杀菌剂的重要应用潜力。

图2 Pan-RAS-IN-1靶向MoCox6抑制稻瘟病菌的致病力
研究团队通过揭示稻瘟病菌“线粒体内膜调节因子介导线粒体自噬”的新机制,提出了“靶向线粒体稳态”的病害防控策略,为高效绿色农药的创制提供了新思路。同时,由于MoCox6及其核心调控位点Asp95在多种植物病原真菌中高度保守,基于该靶点开发的先导化合物Pan-RAS-IN-1在水稻上表现出优异防效,为未来创制精准、高效的新型杀菌剂提供了核心靶点与候选分子储备。
浙江大学农业与生物技术学院博士毕业生吴铭华为论文第一作者,刘小红教授和林福呈教授为并列通讯作者。山东农业大学植物保护学院青年教师钱慧,浙江树人大学青年教师韦云云,浙江省农业科学院梁爽副研究员、朱学明研究员,浙江大学卢建平教授,纽约州立大学Maurizio Del Poeta教授、闽江大学王宗华教授、首尔大学Yong-Hwan Lee教授、新加坡淡马锡生命科学研究院Naweed I. Naqvi教授、内布拉斯加大学林肯分校Richard A. Wilson教授以及密西根大学Daniel J. Klionsky教授参与了该研究。该研究得到了国家重点研发计划及国家自然科学基金等多项项目的资助支持。